When it comes to dental health, what’s happening under your pet’s gums matters just as much as what you can see on the surface.
From the outside their teeth might look clean, white, and free from any obvious tartar or inflammation. But beneath the gum line can hide problems like infection, or even bone loss and furcation exposure – signs that periodontal disease is happening that would otherwise go undetected.
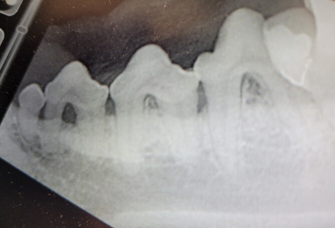
That’s where dental x-rays come in. They let our vets see what’s really going on – the roots, the jaw, and all the structures you simply can’t spot with the eye. It’s the same reason your own dentist takes x-rays: to catch issues early, before they turn into something painful later on.
At Vet Clinic Morrinsville, we take dental x-rays as part of every full dental procedure. It helps us find things like:
Bone loss around teeth
Root abscesses or infections
Hidden fractures or retained roots
Tooth resorption and other changes below the gum line
In fact, studies show that x-rays can reveal hidden problems in up to 60% of pets whose teeth look normal on the surface. Without them, it’s easy for painful conditions to go unnoticed, leaving our furry friends at risk of chronic infection, discomfort and even tooth loss.
By including x-rays in every dental check, we can spot issues early, treat them properly, and keep your pet’s mouth healthy for years to come.
Because a healthy smile goes far deeper than what you can see.



